眼瞼下垂症
眼瞼下垂治療のこだわり
- 1. 「機能は形態を形成し、形態は機能を形成する」 保険治療の手術ですが見た目を特に重要視して手術しています。手術中に患者さまに鏡で見て頂き左右差がないか、二重の幅、目の大きさなど患者さまと相談しながら調整します。
- 2. 痛くない手術 麻酔を痛くないように注射することで手術中、手術後の疼痛を少なくしています。
- 3. 詳細な説明 「眼瞼下垂症の診断」「合併症、手術後の注意事項」「採血、手術説明」「術後の過ごしかた」と細かく説明します。
- 4. 的確な診断 眼瞼下垂症の診断を的確にしています。おもり、クリップ、テープなどの眼瞼下垂症診断グッズを用いて眼瞼下垂症かどうかを的確に診断します。頭痛、肩こりの原因が瞼かどうかを診察します。その診断をもとに症状に応じた手術を行っています。
- 5. 信州大学方式(松尾式)の手術 手術の方法は常に進化しています。学会レベルの最新の信州大学方式(松尾式)の手術を行っています。
- 6. 手術後のフォローアップ 手術後は眼瞼下垂症や頭痛、肩こりが再発しないように指導します。術後の経過も最後までしっかり診ます。
眼瞼下垂症とは
まぶたが垂れて目が開けにくくなる、視界が狭くなる。更年期の女性に増えてくる眼瞼下垂症をご存知でしょうか。
後天性(後からなったもの)の他、先天性(生まれつきのもの)のものもあり、手術で治せるのですが、その手術で頭痛、肩こりが治ったという患者様がたくさんいます。なぜでしょうか? 目と歯と脳は、全部つながっているからなんです。
頭痛、肩こりで、脳外科、整形外科、頭痛外来と色々まわっても原因がわからず悩んでいる方が、たくさんいらっしゃいます。
眼瞼下垂症のチェックリスト
以下の10項目すべてが眼瞼下垂症に関係のある症状です。
当てはまる項目が多いほど、眼瞼下垂症の可能性が高くなります。
- 慢性的な頭痛や肩こりがある
- 上方を見るとおでこにしわが寄る
- まっすぐ前を見るとき、顎を出す癖がある
- 最近、前髪が薄くなってきたように思う
- 夕方になると、よく目の奥が痛くなる
- 夜、対向車のライトをまぶしく感じるようになった
- 長年、コンタクトレンズを着用している
- 目をこする癖がある
- 疲れると目が落ちくぼんでいる
- まつ毛が下向きに生えている
当院で行っているのは、「信州大学方式(松尾式)」という眼瞼下垂症の手術です。
信州大学形成外科で、後天的な症状が研究され手術されているうちに、頭痛や肩こりが改善される新しい手術法が出来上がりました。
目が開けにくいと、眉毛を吊り上げ、おでこにしわを寄せて瞼を持ち上げたり、歯を食いしばって見開いたりと、無意識に色々なところに力が入ります。おでこの筋肉は、後頭部の筋肉や顎を上げる筋肉とつながっているので、顎が突き出た姿勢が多くなり、頭痛や肩こりが起こります。
歯を食いしばることで起こるのが、交感神経の緊張状態です。スポーツをする時を思い出すとわかりやすいと思いますが、歯をぐっとくいしばることで体は戦闘状態を作り出し、交感神経が緊張して瞳孔が広がります。この状態が続くと、光やテレビの音に敏感になったり、ドライアイ、片頭痛の症状が出てきます。
このように、まぶたが原因で起こる症状はたくさんあります。
後天的な眼瞼下垂症が起こる原因
腱膜は非常にデリケートな組織で、まぶたを強くこすったりすると、瞼板からゆるみます。結果、目が開きにくくなる状態となります。これは加齢とともに筋肉が弱ることで、いつかは誰にでも起こる症状なのですが、まぶたをこする頻度が高い人は特に要注意です。まぶたの裏にあり、まぶたを開閉するのに使われる腱膜はとてもデリケートなため、まぶたを刺激する機会が多いと腱膜が薄くなったり、瞼板からゆるんでしまったりします。
また、コンタクトレンズ歴が長い人も要注意です。コンタクトをしていると、まぶたは常に内側からこすられてしまいます。15年以上コンタクトレンズを使用している方は、症状が出やすくなります。
さらに女性はアイメイクをするのでリスクが高まります。男性の場合は50歳前後から増えてきますが、女性は早い人で30代半ばから症状が出始め、更年期の頃に症状が強く出てくることが多いです。アイメイクをする時も、美容マッサージをする時も、強くこすりすぎないよう気をつけるようにしましょう。
日本人に多い一重まぶたの方は、二重の方のようにまぶたを折りたためず、赤ちゃんの時からおでこにしわを寄せてまぶたを上げているので、幼稚園や小学校の頃から肩こり、頭痛があるケースが少なくありません。
その他、二重の幅が広くなった、一重であった人が二重や三重になった、等も眼瞼下垂症の原因となります。
実際の手術はどのようなものなのか
まぶたを上げる腱膜と瞼板が離れてしまっているのが腱膜性眼瞼下垂症です。手術では、まぶたの皮膚を切開し、腱膜を瞼板に縫合、固定します。その際、眼窩腱膜の一部を皮膚とともに縫合し、まつ毛を上向きにしますので、逆さまつ毛も改善されます。一重の方は必ず二重になりますが、不自然な二重にはなりません。
信州大学方式(松尾式)の特徴は、まぶたを上げるために重要なミュラー筋という筋肉を傷めないことです。ミュラー筋を傷めないことで、歯をくいしばってまぶたを上げるといった癖がなくなります。癖がなくなることにより、頭痛や肩こりも治ります。
手術時間は1時間~1時間半で、費用は保険適用で5万円前後となります。
眼瞼下垂症の見た目の変化
治療の流れ
-
- STEP1
- 1回目の診察看護師から詳しい問診があります。その後、院長の診察になります。
おもりやクリップを用いて眼瞼下垂症かどうかの診断をします。
そして、頭痛、肩こりと眼瞼下垂症とのメカニズムについての説明と、簡単な手術説明があります。
-
- STEP2
- 2回目の診察手術による合併症についての細かい説明と、手術後の経過について詳しく説明します。
-
- STEP3
- 3回目の診察術前検査の採血と具体的な手術の説明をします。
-
- STEP4
- 手術当日来院後洗顔していただき、術前のおもり、クリップによる最終チェックをします。 手術中は何度か起きていただき、座位で患者様ご本人にかがみを見ていただきながら二重の幅、目の開いている大きさなどを調整します。 左右差がないか?等も確認していただき終了します。
-
- STEP5
- 手術後、リカバリー室で1時間ほど冷却してお休みしていただきます。 看護師から術後の過ごし方の指導とお薬の説明などがあります。 遠方の方、術後ご心配の方は近くの総合病院の入院かホテルに宿泊をして頂きますが、日帰りでできる手術です
-
- STEP6
- 術後は翌日診察、1週間後と2週間後の抜糸、1ヶ月、3ヶ月、7ヶ月後の検診があり、最後までしっかり経過を診ます。
料金表
| 内容 | 料金(税込) | |
|---|---|---|
| 眼瞼下垂症 | 両目 | ¥50,000程度(保険診療) |
症例写真
-
Before
-
After
-
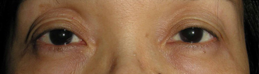
58女性
まぶたが開けにくい、頭痛、肩こりを主訴に来院されました。
おもり負荷試験にて1グラムを挙上できず、腱膜(けんまく)性眼瞼下垂症と診断しました。
もともと二重だった瞼が三重、四重となり、まぶたの植えの陥凹が目立ちはじめ、夕方になるとその傾向は顕著となっていました。
写真は術前と術後7ヶ月のものです。開瞼幅(目の開いている大きさ)は大きくなり、頭痛、肩こりの症状はなくなりました。
術後、一時的なドライアイが生じたため、点眼を使用していただきました。
また、術後2週間は腫脹(腫れ)が強くなるため、お仕事を1週間から2週間お休みできる日程での手術を勧めています。
こちらのケースでは問題がありませんでしたが、場合によっては再手術が必要となることもあります。
眼瞼下垂症手術のリスクについてはページ下部をご確認ください。【費用総額】
診察+内服投薬+手術費用 ¥43,820
採血費用 ¥2,420
手術翌日の診察+投薬費用 ¥1,640
合計 ¥47,880(3割負担)
-
Before
-
After
-
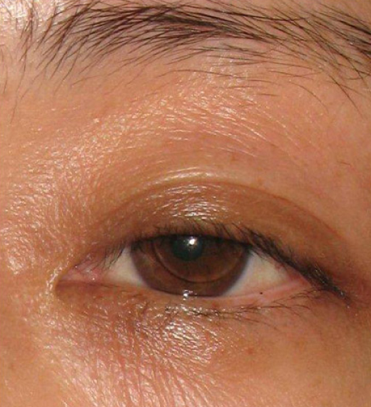
62女性
まぶたが開けにくい、頭痛、肩こりを主訴に来院されました。
おもり負荷試験にて1グラムを挙上できず、腱膜(けんまく)性眼瞼下垂症と診断しました。
術前はまぶたの上の陥凹が強く、二重の幅が広くなり、開瞼幅(フラッシュのライトの点からどのくらい目が開いているか)が小さくなっています。
局所麻酔下にて切開し、緩んでいる腱膜を固定しました。
写真は術前と術後7ヶ月経過したものです。十分な開瞼が可能となり、頭痛と肩こりがなくなりました。
術後の腫脹とドライアイは2週間ほどありました。
こちらのケースでは問題がありませんでしたが、場合によっては再手術が必要となることもあります。
眼瞼下垂症手術のリスクについてはページ下部をご確認ください。【費用総額】
診察+内服投薬+手術費用 ¥43,820
採血費用 ¥2,420
手術翌日の診察+投薬費用 ¥1,640
総額 ¥47,880(3割負担)
よくある質問
- Q
- 手術時間はどのくらいかかりますか?
-
- A
- 手術時間は約1時間~1時間半くらいです。手術のあと、1時間ほど当クリニックでお休みいただいてからのご帰宅になります。
- Q
- 術後の腫れはどのくらいですか?
-
- A
- 3日間は激しく腫れて、その後徐々に腫れが引いていきます。
- Q
- 手術中、痛みはありませんか?
-
- A
- 麻酔の注射をしますので、手術中の痛みはありません。
- Q
- 手術した傷跡は残りますか?
-
- A
- 手術後の傷跡はほとんど残りません。二重の折れ込みで隠れます。
- Q
- 抜糸にくるのはいつですか?
-
- A
- 抜糸は1週間後と、2週間後に分けて行います。
- Q
- お化粧はいつからできますか?
-
- A
- 目の周りのお化粧以外は次の日からしていただくことができます。目の周りのお化粧は2週間後の抜糸の後からしていただくことが出来ます。
- Q
- コンタクトはいつからできますか?
-
- A
- コンタクトは2週間後の抜糸の後からしていただくことができます。
ご注意
- 手術後3日間は激しく腫れ、1~2週間経つにつれて腫れが徐々に引いてきます。
- 手術をした当初は寝ているとまぶたを閉じられず、薄目を開いた状態になるため、ドライアイになりやすくなります。ドライアイ用の点眼薬と抗生剤の点眼薬を処方しますので、2~4週間使用をしてください。
- 手術後に出血が続く場合は創部をあけて止血することがあります。また、手術中から出血が多い方はドレーン(血抜きをするための管)を縫合部に入れて血抜きすることがあります。
- 手術後に皮下出血を起こして部分的に紫色になる場合があり、内出血が吸収されるまで2~4週間程度は下眼瞼まで黄色く残ることがあります。
- 手術後2週間はコンタクトレンズを着用できません。
- 目の焦点が合わない、視界がぼやけるなど、視力に影響が出る場合があります。
- 手術の影響により乱視が変化することがあります。安定するのに4ヶ月程度かかることもありますので、新しいメガネやコンタクトレンズを作る場合は4ヶ月以降にしてください。
- 次のような症状が現れた場合は再手術になる可能性があります。
強くこするなどで固定した糸が外れたり、緩んでしまった場合
二重の線が乱れてしまった場合
硬直性眼瞼痙攣(まぶたが閉じてしまう症状)
左右の違いを修正する場合
6ヶ月後の診察時にまゆ毛が下がってきて、まぶたが重くなる眉毛下垂の症状が出た場合 - 手術の傷跡は6ヶ月ほど赤く残り、特に目尻の傷跡が目立ちますが、次第に自然になります。
- 男性はほとんど問題ありませんが、まぶたに化粧をする女性はしびれが気になることがあります。時間が経過すると気にならない程度に回復します。
- 手術後は目の印象が変わります。腫れているときは二重が広く見えて派手な印象になりますが、次第に自然な形になります。
- 美容を主目的とした手術ではございませんので、ご希望の形態にならないことがあります。
